MRIって?
MRIは磁石と電波を使って体の内部を詳しく調べる検査です。放射線(X線)を使わないため被ばくがなく、脳や関節、臓器などの状態を安全に画像として確認できます。痛みもなく、多くの病気の診断に役立ちます。当院でも主に頭部の確認で活躍しています。
当院のMRI
当院はFAQにもあるように富士フイルムメディカルのAperto lucentを使用しています。すこし難しい話になりますが、低磁場(0.4T)の機械になります。オープン型ですので開放感があり、うるさくなく、患者さんへの負担がすくないことがメリットですが、どうしても画質に妥協せざるを得ないところがありました。
SwiftMRについて
そこで、AIRS MedicalのSwiftMRを導入しました。ディープラーニング技術を用いた高画質化システムです。匿名化した画像をクラウドで処理して、MRI装置に書き戻しています。最新鋭のMRIは同様の仕組みを機械内に持っていますが、処理能力には限りがあります。
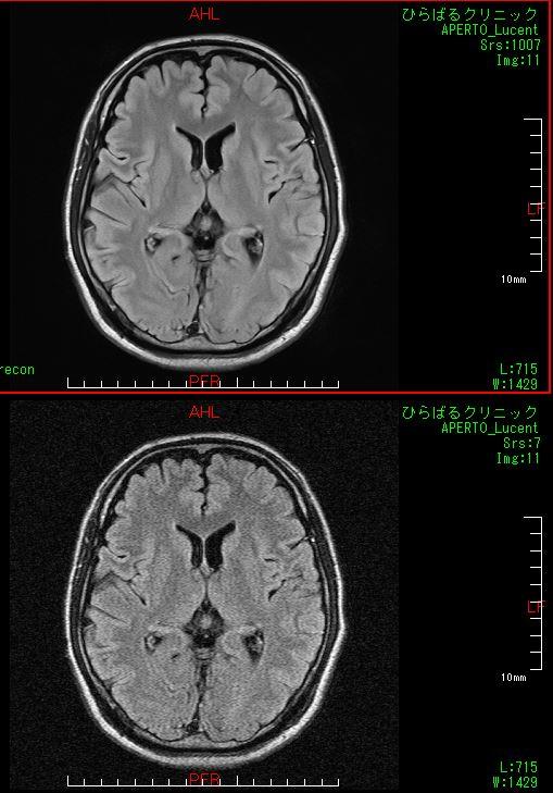
下記に処理前後の画像を提示します。同業者の方は驚嘆するのではないでしょうか。上が処理後、下が処理前になります。
(画像は院長の頭部です)


どんなメリットが?
医師としてはやはり高画質化による診断能力の向上が主になりますが、患者さんのメリットとしては撮像時間の短縮もメリットかと思います。MRIは画質を求めるとどうしても時間がかかりますが、それらの両立が可能になると考えています。
当院は2026年2月より稼働させています。ご興味のある方は連絡いただければ幸いです。


コメント